▲请点击图片查看《神外专家|杨忠旭博士治癫系列一 》
艰辛生活 辗转求医
2018年岁末,35岁的李小琴(化名)与癫痫抗争已持续了26年。虽然身患癫痫,但她以顽强的毅力完成了大学本科学业,并工作了十多年,拥有了幸福的家庭,还孕育了可爱的女儿。
所有这一切对常人而言似乎很平常,但对于身患癫痫的李小琴来说却非常不容易,更称得上不平凡。但癫痫,这个病魔如影随形,时不时地突然在她身上发作,不仅令她十分痛苦,而且发作时令她难堪不已,无地自容,她时刻要提防着癫痫发作,艰辛地活着。
26年来,李小琴及其亲属奔波于江浙沪多家三甲医院,确诊为癫痫,均采用药物治疗,但是李小琴的用药量反而越来越大,病情也越来越严重。 李小琴也无比痛苦与彷徨,医也医不好,治也治不了,这样下去何时是个头啊?直到来到上海蓝十字脑科医院,她才看到希望的曙光。
确诊为“难治性癫痫”
2018年12月下旬,李小琴及其家属经多方辗转了解到上海蓝十字脑科医院,在家人陪伴下慕名前来就诊。
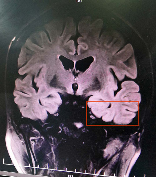
来院后,脑电监测崔丽华主任应用先进的美国尼高力长视频脑电图仪为李小琴做了24小时脑电监测。在监测中,从事临床及脑电图工作30余年的崔主任敏锐地发现了异常脑电波,脑电监测起源提示为左侧起源为著。另头颅MR+MRS示:MRS提示双侧海马Cho峰升高,右侧NAA/Cr+Cho=0.44;左侧NAA/Cr+Cho=0.55。

▲患者海马、颞叶病灶区
蓝十字脑科医院功能神经外科专家、中国规范化癫痫外科的创始人之一杨忠旭博士查看了患者各项检查报告并听取相关病情汇报,综合多项检查并结合病史,李小琴确诊为:难治性癫痫。
杨忠旭博士说:这类难治性癫痫可以行“癫痫病灶切除术”外科手术治疗,但是必须对癫痫病灶进行精准定位。所幸,经过磁共振检查结合脑电检查等可以明确患者癫痫病灶位于海马、颞叶部位。
杨忠旭博士认为,患者癫痫诊断明确,颅内癫痫病灶明确,系统内科药物治疗不佳,手术指征明显,未见明显手术禁忌症。

▲杨忠旭博士在为患者手术
大脑有多个不同的功能分区,不同分区主管着不同的功能。患者病灶紧靠脑功能区,如果手术稍有偏差,损伤到脑部功能区,患者可能出现偏瘫、失语等后遗症。并且大脑内血管密布,纵横交错,一旦损伤血管,后果不堪设想。
要精准切除癫痫病灶,这些都对手术技能提出了非常高的要求,手术难度相当大。
凭借多年专业经验和手术病例,杨忠旭博士对此胸有成竹。杨博士强调,术前要慎重评估癫痫灶与这些重要功能区的关系,做好充分准备,制定周全的手术方案。
李女士恢复正常生活
在征得患者家属同意后,2018年12月26日上午,杨忠旭博士在医护团队协助下为李小琴进行了“癫痫病灶切除术”手术。在全程脑电监测下,经过连续3个多小时的手术,成功切除海马、颞叶癫痫病灶。
“再过段时间就能出院了,还是挺想女儿的,以后就能天天陪着她了。十万分地感谢医院和杨忠旭博士!感谢蓝十字让我走出了困境,摆脱了痛苦!”手术一周后,李小琴状态稳定,已经可以正常说话,不时和家中女儿及丈夫视频聊天。想起以后的幸福生活,她脸上露出了幸福的笑容。
此文章仅作为临床学术研究、学术交流使用!